114B Rue de la Division Leclerc, 91160 Saulx-les-Chartreux
 
Disponible aujourd'hui de 9h à 12h et de 13h à 18h
 
01 69 34 27 66

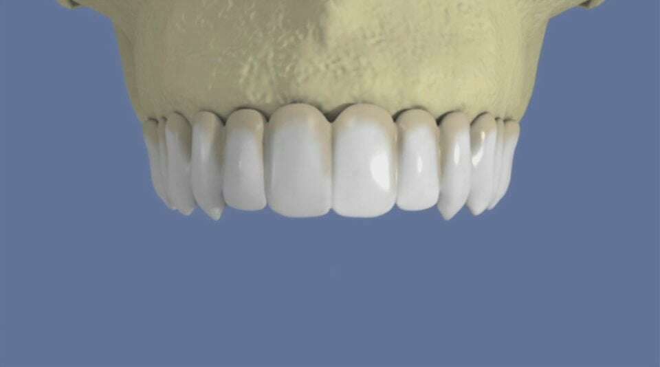
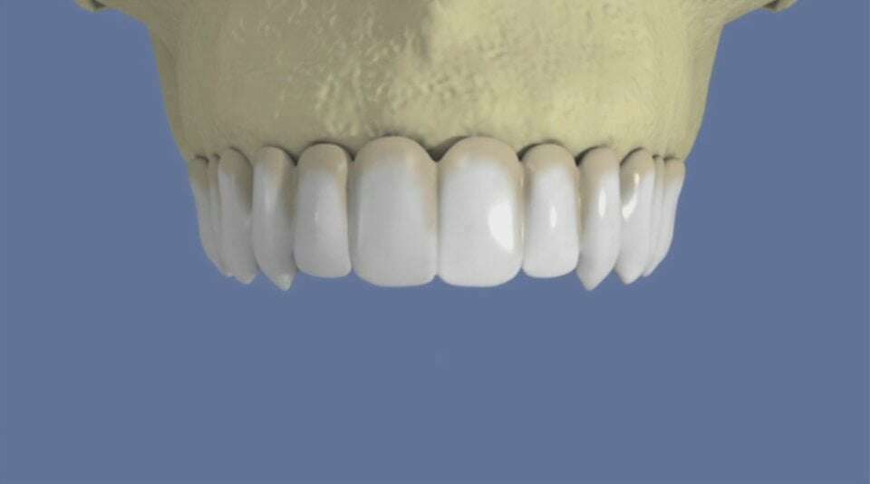
Maxillaire : bridge vissé sans fausse gencive


video-play-icon

Articles similaires

Création par Webdentiste

Connexion